1. Á Châu Pleiku Dental & Vaccination Clinic
Misaligned teeth, crooked teeth, and overbites not only reduce confidence in social interactions but can also lead to dental problems such as cavities, gum infections, and other oral health issues. Á Châu Pleiku Dental & Vaccination Clinic is the place to visit, offering a wide range of high-quality treatments at affordable prices.
At Á Châu Pleiku Dental & Vaccination Clinic, you'll receive professional advice from experienced dentists and nurses who will assess your dental condition and recommend the most suitable oral care services for you. The clinic's staff is highly trained and has years of experience in treating various dental conditions, so you can rest assured you're in good hands.
The clinic is continuously upgrading its technologies and equipment, and the team of dentists is dedicated to improving their skills and knowledge through ongoing learning and professional development.
CONTACT INFORMATION:
Address: 03 Nguyễn Tất Thành, Pleiku City, Gia Lai
Phone: 0888 330 331
Fanpage: www.facebook.com/nhakhoaachau.vnn
Opening Hours: 07:30 AM - 07:00 PM


2. Anh Dũng Dental Clinic
Anh Dũng Dental Clinic has a team of professional and experienced dentists who will perform a thorough diagnosis of your dental condition. After that, they will advise you on the most suitable orthodontic methods based on your needs and desires. The clinic provides traditional orthodontic methods, using brackets, wires, and elastics to gradually adjust the positioning of your teeth. This treatment process may take several months to years, depending on your dental condition. Anh Dũng Dental Clinic also offers clear aligner treatments using the Invisalign system. With Invisalign, you'll use removable, clear dental trays that are easy to clean and eat with. The Invisalign system employs 3D technology to create a series of custom aligners that gently shift your teeth to their desired positions comfortably and discreetly.
Anh Dũng Dental Clinic is committed to maintaining high standards of dental quality and safety, using the latest equipment and technology to ensure both effectiveness and patient comfort.
Address: 10 Nguyễn Văn Trỗi, P. Hội Thương, Pleiku City, Gia Lai
Phone: 026 9360 8666 & 026 9383 8666
Email: [email protected]
Website: https://nhakhoaanhdunggialai.com/
Fanpage: www.facebook.com/nhakhoaanhdunggl
Opening Hours: 08:00 AM–07:00 PM


3. Saigon Dental Clinic - Gia Lai
Saigon Dental Clinic - Gia Lai is a highly regarded clinic for all dental care needs. The services here are constantly upgraded, including improvements in doctor-patient interactions, clinic ambiance, and treatment quality. In addition, the clinic ensures that new techniques and technologies are rapidly learned and applied by the staff.
The treatment process at Saigon Dental Clinic - Gia Lai adheres strictly to medical hygiene and sterilization standards, ensuring your safety. The clinic is committed to providing high-quality services and ensuring your comfort and satisfaction throughout the treatment process. Furthermore, they also offer post-orthodontic services such as dental maintenance, adjustments to orthodontic results, and aftercare services to ensure long-term results and maintain your beautiful smile.
Saigon Dental Clinic - Gia Lai offers a full range of dental care services, including aesthetic dental procedures, meeting all your diverse oral care needs. Visit Saigon Dental Clinic - Gia Lai to explore their high-quality orthodontic services and dedicated team of dental experts. The clinic is committed to giving you a perfect smile and boosting your confidence.
CONTACT INFORMATION:Address: 35 Trần Phú, Diên Hồng, Pleiku City, Gia Lai
Phone: 026 9379 7999
Fanpage: www.facebook.com/nhakhoasaigongialai/
Opening Hours: 07:30 AM - 07:00 PM


4. Modern Dental Clinic - Gia Lai
Modern Dental Clinic - Gia Lai is a well-known and trusted clinic that clients can confidently choose for dental care and cosmetic dentistry services.
The clinic offers a variety of dental treatments including metal braces, ceramic braces, Incognito lingual braces, and clear, invisible aligners like Incognito. When you visit Modern Dental Clinic - Gia Lai, you will undergo a thorough examination, followed by an assessment of your dental health. Based on the results, the doctors will recommend the most suitable dental services for your needs.
Services at this clinic are reasonably priced, making them accessible to anyone in need of dental care. Additionally, the clinic is equipped with modern, high-quality machinery that is regularly maintained or updated to ensure the highest treatment effectiveness. This ensures that patients receive the best results without wasting time or money.
Modern Dental Clinic is highly regarded by its clients and has earned a strong reputation in the field of dental health care.
CONTACT INFORMATION:
Address: 240A Nguyễn Tất Thành, Pleiku City, Gia Lai
Phone: 026 9386 8268 & 0843 868 268
Email: [email protected]
Website: https://nhakhoahiendai.vn/
Fanpage: www.facebook.com/nhakhoahiendai240/
Opening Hours: 08:00 AM - 07:00 PM


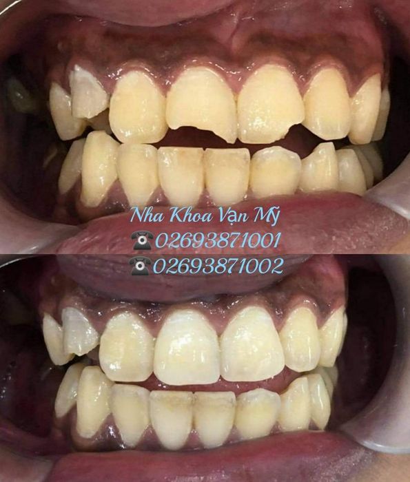
5. Van My Dental Clinic - Gia Lai
The orthodontic services at Van My Dental Clinic - Gia Lai are provided by a team of highly skilled and experienced dentists. When you choose their services, you can rest assured about your dental health, knowing that the results will be worth the investment.
Van My Dental Clinic - Gia Lai consistently invests in upgrading and maintaining its modern equipment, while also refining the skills of its dental professionals. This ensures that patients receive the highest quality care, resulting in the best possible treatment outcomes. Moreover, after your treatment, you won't have to worry about post-care instructions as the dedicated staff will guide you on how to care for your teeth at home. You can also consult with the dentists anytime should you have any concerns regarding post-treatment care.
Upon visiting Van My Dental Clinic - Gia Lai, you will undergo a thorough examination to assess your dental health. Based on this evaluation, the clinic will recommend the most suitable orthodontic treatment tailored to your needs and desires.
CONTACT INFORMATION:
Address: 117 Phan Đình Phùng, Tây Sơn, Pleiku City, Gia Lai
Phone: 026 9387 1001 & 026 9387 1002
Email: [email protected]
Fanpage: www.facebook.com/nhakhoavanmygialai
Opening Hours: 08:00 AM - 08:00 PM


6. Tam Duc Dental Clinic - Dr. Tuan
As one of the most trusted and high-quality dental clinics in Gia Lai, Tam Duc Dental Clinic has been dedicated to providing European-standard services since its establishment. The clinic strives to meet patient needs with top-quality care and exceptional after-service support.
With a patient-first philosophy, the dedicated team of dentists continually enhances their expertise and professional ethics. Some of the clinic's standout services include aesthetic dental crowns, braces (orthodontics), dental implants, crowns, veneer bonding, teeth whitening, and more. Committed to delivering perfect and long-lasting results, Tam Duc Dental Clinic invests heavily in advanced equipment, such as 3D CT scanners, root canal treatment machines, piezoelectric tooth extraction equipment, and CAD/CAM technology.
Tam Duc Dental Clinic ensures the use of safe, high-quality materials that are non-irritating to patients. The orthodontic treatments are performed with great care and closely monitored to guarantee the best results. The clinic’s expert dental team prioritizes comfort and safety for patients throughout the entire treatment process.
CONTACT INFORMATION:
Address: 852 Hung Vuong, TT. Chu Se, Chu Se, Gia Lai
Phone: 026 9651 5779
Email: [email protected]
Fanpage: www.facebook.com/nhakhoatamducchuse/
Opening Hours: 07:00 AM - 08:00 PM


7. Hygge Dental Clinic
Hygge Dental Clinic is a leading dental center in Gia Lai, offering high-quality orthodontic services. With a team of experienced dentists who are highly trained, Hygge Dental Clinic is committed to giving you a beautiful and healthy smile.
The orthodontic services at Hygge Dental Clinic are designed to adjust the position and shape of your teeth, ultimately creating a more perfect smile. The process begins with an assessment of your dental condition, followed by a discussion of your smile goals. Based on this, Hygge Dental Clinic will create a personalized treatment plan to achieve the best possible outcome. You will be guided through the entire orthodontic process, including timelines and costs involved.
The orthodontic treatments at Hygge Dental Clinic are carried out by highly skilled dental professionals using top-quality materials. The clinic is committed to ensuring the safety and effectiveness of your treatment. In addition, Hygge Dental Clinic focuses on enhancing the patient experience, ensuring you are comfortable and well cared for throughout the entire process. If you are considering orthodontic services, visit Hygge Dental Clinic in Gia Lai for expert advice and professional care. Hygge Dental Clinic promises to give you a beautiful, confident smile.
CONTACT INFORMATION:
Address: 86B Pham Van Dong, P. Hoa Lu, TP. Pleiku, Gia Lai
Phone: 026 9399 9789 & 0943 275 885
Email: [email protected]
Fanpage: www.facebook.com/drphamminhduckt
Opening Hours: 08:00 AM - 06:00 PM


8. Dai Nam Dental Clinic
Dai Nam Dental Clinic is recognized as the top dental center in Vietnam. With its commitment to modernity, quality, and safety, this clinic is the ideal destination for anyone looking to improve their smile.
The clinic offers a wide range of services that continue to evolve with the latest global dental techniques. The expert team of dentists is highly trained and regularly undergoes advanced training abroad. Patients can expect a safe, international-standard consultation and treatment process. Services include orthodontics, cosmetic dental work, teeth whitening, dental implants, consultations, X-rays, extractions, fillings, root canal treatments, and periodontal care.
Moreover, the clinic boasts a spacious, clean facility equipped with modern international-standard tools and technologies, providing a comfortable and relaxing environment for every patient.
CONTACT INFORMATION:
Address: 12 Tran Phu, Tay Son, Pleiku City, Gia Lai
Phone: 0964 444 999
Email: [email protected]
Website: https://nhakhoadainam.vn/
Fanpage: www.facebook.com/dainamdental/
Opening Hours: 07:30 AM - 05:30 PM


9. Happy Smile Aesthetic Dental Clinic
Happy Smile Aesthetic Dental Clinic is a leading dental center in Gia Lai, specializing in high-quality orthodontics. With a team of experienced dentists and advanced technology, Happy Smile Aesthetic Dental Clinic is committed to providing clients with perfect, confident smiles.
The clinic’s orthodontic services focus on correcting the position and shape of teeth to achieve a well-aligned, balanced, and harmonious smile. They offer modern techniques such as Invisalign clear aligners, ceramic braces, and traditional metal braces to meet the unique needs and preferences of each patient.
With Invisalign clear aligners, Happy Smile Aesthetic Dental Clinic uses transparent, comfortable, and nearly invisible aligners. This allows you to maintain a natural appearance throughout the treatment process without feeling self-conscious. In addition, the clinic also offers ceramic and traditional metal braces, using high-quality materials to create durable, accurate, and efficient orthodontic devices. Progress is closely monitored, and adjustments are made as necessary to ensure the best outcome.
Happy Smile Aesthetic Dental Clinic is dedicated to providing professional and personalized orthodontic care. They understand that each patient has unique goals and needs, and create customized treatment plans to ensure the process is completed on time and meets your expectations.
Address: 19 Hung Vuong, P. Dien Hong, Pleiku City, Gia Lai
Phone: 0963 442 244
Email: [email protected]
Opening Hours: 07:00 AM - 07:00 PM


10. Big Dental Clinic
Big Dental's orthodontic services are designed to enhance both the function and aesthetics of your teeth. The clinic focuses on personalized consultations and treatment planning tailored to each individual’s specific case. The dentists and staff at Big Dental are skilled in managing the entire orthodontic process and post-treatment care. The clinic ensures high-quality service while creating a comfortable and safe environment for all patients. Given the long-term nature of orthodontic treatment, Big Dental promises to closely monitor each step of the process to ensure the best results. You will have regular check-ups to ensure that the treatment is progressing correctly and effectively.
If you're interested in orthodontic treatment at Big Dental Clinic in Gia Lai, come for an in-person consultation to get detailed advice about the treatment process and discover the most suitable orthodontic options for you!
Address: 58 Dinh Tien Hoang, P. Dien Hong, Pleiku City, Gia Lai
Phone: 0868 922 992
Email: [email protected]
Website: https://bigdental.com.vn/
Fanpage: www.facebook.com/phongkhamnhakhoaBigDental
Opening Hours: To be updated


