1. Tam Duc Smile Dental Clinic
The Tam Duc Smile Dental Center was established in April 2008. After more than 11 years of operation, the center has earned a strong reputation and trust from clients, gradually asserting its position as one of Vietnam's leading dental care centers specializing in implant dentistry and cosmetic dental crowns. To meet the diverse needs of customers and further enhance its brand value, Tam Duc Dental Center continually adapts, learning and applying the latest global dental technologies and cosmetic services to provide the best smiles possible.
The state-of-the-art Laser Whitening treatment used at Tam Duc Smile Dental Clinic combines advanced whitening light technology with Pola Office whitening gel imported from Australia. This method offers fast, safe, and effective results in improving the color of teeth.
Advantages of this method:
- Fast procedure, taking only 30-60 minutes (depending on the condition of the teeth).
- Completely safe when performed under the supervision of qualified dentists.
- Long-lasting whiteness, with results lasting 1-2 years.
- Pain-free with no sensitivity or discomfort.
Tam Duc Smile Dental Center guarantees to follow the whitening process according to the Ministry of Health’s standards, ensuring safety and effective results, leaving clients with a comfortable and pleasant experience. The procedure includes:
- Initial consultation and assessment: A thorough examination to ensure that the client’s teeth are suitable for whitening, and to treat any existing dental issues such as cavities or gum disease before proceeding.
- Oral hygiene and shade measurement: Teeth cleaning to remove plaque and tartar, ensuring optimal results. A shade measurement is taken to compare before and after results.
- Teeth isolation and gum protection: Protective tools are used to isolate the teeth from the lips and gums. Vaseline is applied to protect the lips, and a gel is used to protect the gums. Special cotton is placed to prevent the whitening gel from coming into contact with the inside of the mouth. Desensitizing gel is applied to ensure comfort during the procedure.
- Application of Pola Office whitening gel: The dentist applies the Pola Office gel on the teeth, ensuring the gel does not come into contact with the gums, lips, or mouth. Depending on the staining level, the dentist may repeat the gel application. Clients wear protective glasses to shield their eyes from the laser light.
- Laser treatment: The laser light is directed onto the teeth, activating the whitening gel to whiten the teeth from the inside out. Based on the client’s desired results, the dentist may repeat the process once or twice. After the procedure, the protective tools are removed, and the client rinses their mouth.
Contact Information:
Address:
- 135G Tran Hung Dao, An Phu Ward, Ninh Kieu District, Can Tho
- 59AA Nguyen Van Cu (extended), KV2, An Binh Ward, Ninh Kieu District, Can Tho
- 372 Group 16, Long Thanh 1, Thot Not Ward, Thot Not District, Can Tho
Appointments and Consultations: 1900 8040
Website: https://nhakhoatamducsmile.com/
Facebook: https://www.facebook.com/nhakhoatamducsmile


2. Viet Phap Dental Clinic
Viet Phap Dental Clinic is another key player among the top trusted teeth whitening centers in Can Tho. With years of experience, the clinic focuses on treatment outcomes and customer satisfaction, and it takes pride in the accomplishments it has achieved over the years. The clinic continues to maintain its reputation for providing effective dental care.
Teeth whitening is highly effective for cases of discoloration caused by food and yellowing. The results, however, depend on the cause and degree of staining. The whitening procedure at Viet Phap Dental Clinic is performed with the aid of modern equipment and technology, under the supervision of professional dentists.
Having your teeth whitened at Viet Phap Dental Clinic saves time and ensures safety. The procedure is conducted under a dentist's supervision, which helps minimize any discomfort or sensitivity. One of the most popular methods used is Plasma light whitening. This technique is effective, widely used, and does not damage tooth enamel or negatively affect health. The whitening process lasts about 90 minutes and is gentle. Visit Viet Phap Dental Clinic to get the dazzling white smile you've always dreamed of!
CONTACT INFORMATION:
Address: 10 Vo Van Kiet, Ninh Kieu, Can Tho
Phone: 0918 363 006 - 02926 285 258 - 02926 252 635
Email: [email protected]
Website: http://nhakhoavietphap.vn
Facebook: https://www.facebook.com/NhaKhoaVietPhapCT/


3. Saigon Dentist - Dr. Lam
Founded in 2006 by Dr. Le Nguyen Lam, Head of the Orthodontics Department at Can Tho University of Medicine and Pharmacy, and a certified specialist in Orthodontics from Thailand, Saigon Dental – Dr. Lam is a renowned clinic with over 10 years of experience in dentistry. The clinic has earned numerous awards and certifications for its quality service. Originally established with only 4 small chairs, the clinic expanded in 2013 to a larger, more modern facility with 14 chairs, accommodating a growing number of patients.
Saigon Dental – Dr. Lam prides itself on being a long-established clinic with experienced professionals, specializing in dental implants, surgeries, and particularly teeth whitening. The teeth whitening procedure at Saigon Dental – Dr. Lam in Can Tho follows these steps:
- Step 1: The dentist will first examine your gums and teeth. If there is excessive plaque or tartar, a cleaning may be required before whitening to ensure the best results.
- Step 2: The dentist applies a protective solution to your gums to shield them from the whitening gel.
- Step 3: Once the protective solution is applied, the dentist uses a Zoom lamp (a modern light unlike traditional plasma lights) to activate the whitening gel, speeding up the whitening process.
- Step 4: After a few minutes, the light is turned off, and the whitening gel is removed. A new layer of gel is applied, and the Zoom lamp is used again. This step may be repeated several times.
- Step 5: Finally, the whitening gel is completely removed, and you can enjoy your bright, new smile.
We recommend visiting Saigon Dental – Dr. Lam in Can Tho for a free consultation. Based on your individual case, the dentist will offer the best treatment plan and cost estimate.
CONTACT INFORMATION:
Address: 251 Nguyen Van Cu, Ninh Kieu District, Can Tho City
Hotline: 02923 899 104
Facebook: https://www.facebook.com/nhakhoasaigonbacsilam/
Website: www.nhakhoasaigonbacsilam.com


4. International Dental Clinic - Can Tho
In Can Tho, International Dental Clinic is considered one of the most reputable dental clinics, a top choice for dental care and aesthetic services. Over the years, International Dental Clinic has gained the trust and support of many clients, thanks to its professional service and exceptional quality.
International Dental Clinic - Can Tho is an effective teeth whitening destination, offering quick results for a brighter smile, and it stands out because of its:
- A team of specialized dentists with expertise in both aesthetic dentistry and general dental care, with strong theoretical knowledge and hands-on experience. They are attentive to patients' needs and offer caring, personalized service.
- Professional management style
- State-of-the-art, sterilized equipment
- Proven reputation for excellence in diagnosis and treatment
- Clear, reliable warranty and aftercare services for all treatments
- Use of the latest teeth whitening technologies
- Reasonable pricing matched with high-quality service
International Dental Clinic is confident in providing the best teeth whitening service, helping you eliminate unsightly stains and discoloration that may affect your confidence in social interactions.
CONTACT INFORMATION:
Address: 17 Mậu Thân, An Hòa Ward, Ninh Kiều District, Can Tho City
Hotline: 0916.20.24.26
Facebook: https://www.facebook.com/Nha-Khoa-Quốc-Tế-cần-Thơ-1787632794793105/


5. Western Vietnam Dental Clinic
Are you feeling self-conscious about your yellowing teeth? Not sure where to go for a reliable dental clinic in Vung Tau to get your teeth whitened? With advanced equipment, skilled dentists, and affordable services, Western Vietnam Dental Clinic is the perfect choice for you.
Here’s how the teeth whitening process works at Western Vietnam Dental Clinic:
- Step 1: Initial consultation and examination to assess your oral health. The dentist will compare your current tooth color to the desired shade after whitening using a color chart.
- Step 2: A thorough cleaning to ensure no underlying dental issues. Next, a protective gel is applied to your gums, and a special isolation tool is used for the procedure.
- Step 3: The whitening treatment is performed using Laser Whitening technology, a leading method for teeth whitening. This procedure is known for its aesthetic results, safety, and long-lasting effectiveness.
Additionally, at-home whitening is also available: Patients can purchase the whitening gel and create custom trays for home use, with treatment lasting around a week.
Western Vietnam Dental Clinic offers a range of options, from basic to advanced techniques, tailored to your budget and needs. Visit us, and let us give you the smile of your dreams!
CONTACT INFORMATION:
Address: 142 30/4 Street, An Phu Ward, Ninh Kieu District, Can Tho
Hotline: 0292 246 0357 - 0919 705 701 - 0292.246.0356
Email: [email protected]
Website: nhakhoamientay.com
Facebook: www.facebook.com/nhakhoamientay


6. Saigon Dental and Maxillofacial Hospital
Saigon Dental and Maxillofacial Hospital is known as a trusted dental center, offering reliable services for wisdom tooth extraction and other dental treatments. With over 17 years of experience in the dental field, Saigon Dental and Maxillofacial Hospital understands the needs and concerns of its patients and has built a strong reputation with its four facilities in Ho Chi Minh City and Can Tho.
Plasma light teeth whitening is one of the most advanced aesthetic dental procedures, highly regarded by specialists for its effectiveness in removing yellow stains and discoloration, giving you naturally bright teeth. This is also the primary whitening method used at Saigon Dental and Maxillofacial Hospital.
The teeth whitening process using Plasma light at Saigon Dental and Maxillofacial Hospital includes the following steps:
- Step 1: A thorough examination to assess the condition of your teeth and determine the appropriate amount of whitening solution and light intensity. The dentist will also compare your current tooth shade with the desired result and protect your eyes with special glasses.
- Step 2: The assistant will instruct the patient to rinse their mouth, then apply a layer of Vaseline to protect the lips from drying out. The dentist will isolate the gums and apply a protective gel to ensure the whitening solution only affects the teeth.
- Step 3: The whitening solution is applied to the teeth, and the Plasma light is activated to work on the teeth for about 5 minutes. The light is then turned off, and the teeth are cleaned.
- Step 4: The process is repeated with the Plasma light for 5-minute intervals until the desired level of whiteness is achieved. The Carbamide Peroxide in the whitening gel is activated by the Plasma light to break down the stains. Afterward, the tools are removed, and the teeth are thoroughly cleaned.
The use of Plasma light to activate the whitening solution without damaging the tooth enamel or surrounding soft tissues is one of the key advantages of this treatment. Visit Saigon Dental and Maxillofacial Hospital today to experience our top-tier teeth whitening services!
CONTACT INFORMATION:
Addresses:
- 46 Võ Văn Kiệt, An Hòa Ward, Ninh Kiều District, Can Tho. (029) 2388 9666 - 093 1111 655
- 81 Phan Đình Phùng, Tân An Ward, Ninh Kiều District, Can Tho. (029) 2388 9666 - 093 1111 655
Email: [email protected]
Website: https://benhvienranghammatsg.vn/
Facebook: https://www.facebook.com/ranghammatsaigon/


7. Ninh Kiều Dental Clinic
Ninh Kiều Dental Clinic is staffed by dentists trained at the University of Medicine and Pharmacy, with additional qualifications from the Vietnam-France dental school. Established 15 years ago in Can Tho, this clinic is equipped with modern facilities and an advanced sterilization system, ensuring a safe, hygienic environment. The clinic offers a range of dental services, including X-ray examinations before and after treatments. In response to growing demands for oral care, Ninh Kiều Dental provides the latest treatment methods to its patients.
Teeth whitening at Ninh Kiều Dental is one of the most popular services, known for its professionalism and credibility. The teeth whitening process at the clinic includes the following steps:
- The dentist will perform an initial check-up and clean your teeth thoroughly.
- The treatment duration will depend on the whitening plan you select.
- A protective gel will be applied to the gums to prevent irritation before the whitening process begins. Hydrogen Peroxide will be applied to the teeth for whitening.
- The whitening solution will be activated using Plasma light, which accelerates the whitening process with its heat and light energy.
- After the procedure, the dentist will provide you with tips to help maintain your newly whitened smile for as long as possible.
If you're still uncertain about where to go for teeth whitening services, Ninh Kiều Dental Clinic is definitely a top choice for you.
CONTACT INFORMATION:
Address: 176 Nguyễn Văn Cừ, An Hòa, Ninh Kiều, Can Tho
Phone: 0292 382 2366 - 0983 294 989 - 0362 369 978
Email: [email protected]
Website: www.nhakhoaninhkieu.com
Facebook: https://www.facebook.com/nhakhoaninhkieu/


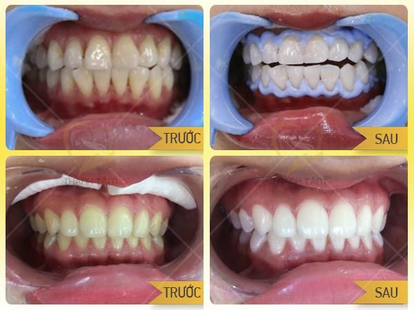
8. Thanh Tâm Dental Clinic - Can Tho Branch
Thanh Tâm Dental Clinic boasts "12 YEARS OF ESTABLISHMENT - 12 YEARS OF CARING FOR VIETNAMESE SMILES - OVER 12,000 SMILES RESTORED EACH MONTH - 8 BRANCHES NATIONWIDE." The clinic specializes in aesthetic dental restorations using the Invy Multi 4P technology. Equipped with modern facilities and following the Ministry of Health’s standardized procedures, Thanh Tâm Dental ensures top-tier dental services performed by skilled specialists who provide high-quality treatments at affordable prices.
Teeth whitening using Plasma technology is a standout service at Thanh Tâm Dental. This advanced technology offers high efficacy with complete safety for your body and oral health. Plasma light activates ions that, combined with the whitening agent, efficiently remove stains and discoloration from your teeth, leaving you with a bright, beautiful smile.
WHAT YOU CAN EXPECT FROM THANH TÂM DENTAL'S TEETH WHITENING SERVICES:
- Achieving the brightest and most effective whitening results
- Guaranteed use of authentic whitening products
- Commitment to using FDA-approved Plasma technology for safety and international standards
- Highly specialized treatment carried out by expert professionals
CONTACT INFORMATION:
Address: 30 3/2 Street, Ninh Kiều, Can Tho City
Hotline: 1800 2015 or 0933 922 025
Fanpage: https://www.facebook.com/ThanhTamDentist/
Website: https://nhakhoathanhtam.com/


