1. Sunny Dental
There have been many cases of wisdom teeth not being extracted or treated promptly, causing infections to spread to surrounding areas. If you are facing such an issue, visit Sunny Dental for a quick consultation.
Why choose Sunny Dental?
- Premium quality, genuine imported materials
- Sterile clinic, fully compliant with Ministry of Health standards
- Experienced and friendly team with over 10 years of expertise, continuously learning and advancing their skills
- Modern equipment, always updated with the latest global technology for the best service
- Proactive and friendly service attitude with clear communication
- Transparent and detailed pricing
Wisdom tooth extraction process at Sunny Dental: Before the extraction, the dentist will take comprehensive X-rays and a CT scan of the bone to assess the nerve areas around the tooth. With the CT scan, the dentist can determine the direction of the tooth’s growth to make the extraction simpler and minimize impact on the surrounding bone. The clinic prepares a sterile environment to ensure no infections occur after the procedure.
Patients can schedule a free consultation and X-ray checkup via the Sunny Dental Facebook page.
CONTACT INFORMATION:
Address: 553 Nguyen Duy Trinh, Binh Trung Dong, Thu Duc City, Ho Chi Minh City
Phone: 0908 335 527
Email: [email protected]
Facebook Page: www.facebook.com/nhakhoasunnyquan2/


2. Đăng Lưu Dental
If you're dealing with misaligned wisdom teeth and don’t know where to find a reliable, painless dental clinic in Thu Duc, worry no more. Đăng Lưu Dental offers the Dental Vibe, a painless numbing device, so you can rest assured. After the procedure, you'll still be able to smile and chat comfortably.
With the philosophy of “Quality First,” the entire team at Đăng Lưu Dental strives to provide the best services tailored to each customer's needs. The clinic is equipped with a modern laboratory, European standard machinery, and a highly skilled and experienced team of dentists and assistants.
Thanks to cutting-edge technology and a professional team, Đăng Lưu Dental is confident in offering top-notch dental services at the most affordable prices.
CONTACT INFORMATION:
Address: 877 Kha Van Can, Linh Tay Ward, Thu Duc City, Ho Chi Minh City
Phone: 1800 6836 & 1800 6578 & 0356 739 251
Website: https://nhakhoadangluu.com.vn
Facebook Page: www.facebook.com/nhakhoadangluu2


3. Simpline Dental
For many years, Simpline Dental has been one of the most trusted dental clinics in Thu Duc, chosen by many for wisdom tooth extractions. The clinic uses advanced wisdom tooth extraction technology from South Korea, ensuring the best experience for its patients.
Reasons to choose Simpline Dental for wisdom tooth extractions:
- Fast, safe, precise, and gentle extraction process with minimal invasiveness, no pain, and quick recovery
- All consultations, examinations, and procedures are performed by highly experienced, certified dentists with both local and international qualifications
- State-of-the-art equipment and adherence to strict medical standards, ensuring minimal risk of cross-contamination
To get accurate advice on which wisdom teeth need extraction and how to do it safely without complications, contact Simpline Dental to schedule a check-up with a skilled dentist.
CONTACT INFORMATION:
Address: 1st Floor, Thao Dien Pearl, 12 Quoc Huong, Thu Duc City, Ho Chi Minh City
Phone: 028 2253 7009 & 0931 862 080
Facebook Page: www.facebook.com/nhakhoasimpline


4. Linh Xuân Dental
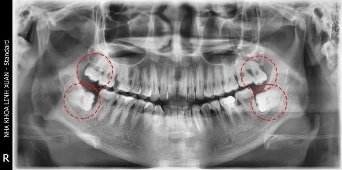
Wisdom teeth, also known as third molars, are complex due to their deep roots and multiple ligaments. If your wisdom tooth is impacted, you need to visit a dentist for prompt treatment. At Linh Xuân Dental, patients receive thorough exams and X-rays. If the tooth is abnormal, extraction will be recommended. If the tooth is newly erupted and not affecting health, you'll receive guidance on managing pain during the eruption.
With the focus on patient health, Linh Xuân Dental is trusted by the residents of Thu Duc City for oral care. The clinic’s team, with over 15 years of experience, has successfully performed wisdom tooth extractions for thousands of patients. Before the extraction, patients’ medical history will be carefully reviewed, especially for those with heart conditions, blood disorders, or anesthesia allergies. In such cases, blood tests and drug allergy tests will be conducted to ensure safe procedures.
At Linh Xuân Dental, wisdom tooth extractions are carried out in a sterile minor surgery room equipped with modern technology, such as Piezotome bone surgery equipment, PRF, and ConeBeam CT 3D imaging, ensuring a safe and precise extraction process.
CONTACT INFORMATION:
Address: 51 National Route 1K, Linh Xuân Ward, Thu Duc City, Ho Chi Minh City
Phone: 0911 711 174
Website: https://nhakhoalinhxuan.com/
Facebook Page: www.facebook.com/NHAKHOALINHXUAN
Opening Hours: 08:00 - 20:00

5. Dr. Vương Dental
If you're in Thu Duc and looking for a pain-free wisdom tooth extraction, consider Dr. Vương Dental. Dr. Vương strives to provide high-quality dental services with an experienced, professional, and dedicated team of doctors and staff.
Customer satisfaction is the priority, so when you need a wisdom tooth extraction, the team here ensures clear explanations and guidance, helping you make the right decision. This is why the clinic is known for providing the most comfortable and satisfying experience for its patients.
Key benefits of getting a wisdom tooth extraction at Dr. Vương Dental:
- Convenient scheduling: You can easily book an appointment for a consultation and examination via Facebook, Website, or Zalo, without long waiting times
- On-site X-ray, saving time and effort
- Private, fully equipped surgical rooms, licensed by the Department of Health
- The entire extraction process takes just 30-40 minutes, with a designated rest area for recovery after the procedure
Dr. Vương Dental is committed to offering high-quality dental services at affordable and transparent prices. All service costs are clearly listed for patients to review. It is a trusted clinic where many choose to undergo their wisdom tooth extraction and other dental treatments due to its outstanding service.
CONTACT INFORMATION:
Address: 108 Dàng Văn Bi, Bình Thọ Ward, Thu Duc City, Ho Chi Minh City
Phone: 0901 186 864
Email: [email protected]
Website: http://nhakhoadrvuong.vn/l
Fanpage: www.facebook.com/nhakhoadrvuong


6. Westcoast Dental
Wisdom tooth extractions don't necessarily require a hospital visit, as it's a minor surgery (a small procedure) that can be performed in a well-equipped, sterile dental clinic. With an international team of dentists, Westcoast Dental in Vietnam is a reputable clinic committed to performing minor surgeries like wisdom tooth extractions.
With a strong focus on investment and keeping up with the latest global trends, Westcoast Dental prioritizes three key values that set it apart:
- Exceptional quality is the top priority at Westcoast Dental. The clinic guarantees the best treatment plans with a variety of services, carefully selected materials, and meticulous treatment steps to ensure long-lasting results.
- A multinational team: The dentists at Westcoast are members of international dental organizations. The team includes professionals from Japan, France, Germany, Canada, and Vietnam, ensuring multilingual communication and top-quality service for you.
- Dedicated care and treatment: The clinic’s staff and dentists prioritize compassionate, personalized care for every patient.
If you're struggling with your wisdom teeth, don't hesitate to reach out to Westcoast Dental to consult with Dr. Andrew H.F. Tsang, the CEO of Westcoast International Dental Clinic, for advice on your condition and to create an appropriate treatment plan.
CONTACT INFORMATION:
Address: 27 Nguyễn Bá Lân, Thảo Điền, Thu Duc City, Ho Chi Minh City
Phone: 0903 670 159
Email: [email protected]
Website: https://westcoastinternational.com/
Fanpage: www.facebook.com/westcoastinternational/


