Các Bác Sĩ Sử Dụng Trí Tuệ Nhân Tạo để Sàng Lọc Ung Thư Vú

Khi Covid xuất hiện tại Massachusetts, nó buộc Constance Lehman phải thay đổi cách Bệnh viện Chung Massachusetts kiểm tra phụ nữ về ung thư vú. Nhiều người đã bỏ qua các cuộc kiểm tra định kỳ và quét hình ảnh do lo lắng về virus. Do đó, trung tâm mà Lehman đồng chủ nhiệm đã bắt đầu sử dụng một thuật toán trí tuệ nhân tạo để dự đoán ai có nguy cơ cao nhất phát triển ung thư.
Kể từ khi đợt bùng phát bắt đầu, Lehman nói rằng khoảng 20,000 phụ nữ đã bỏ lỡ kiểm tra định kỳ. Bình thường, năm trong mỗi 1,000 phụ nữ được kiểm tra sẽ cho thấy dấu hiệu của ung thư. “Đó là 100 trường hợp ung thư mà chúng tôi chưa chẩn đoán được,” cô nói.
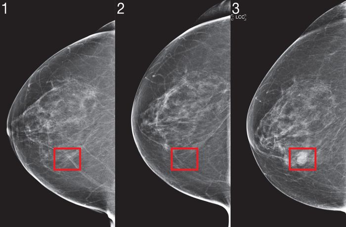
Lehman nói rằng phương pháp trí tuệ nhân tạo đã giúp xác định một số phụ nữ mà khi thuyết phục đến kiểm tra định kỳ, họ lại có dấu hiệu sớm của ung thư. Những phụ nữ được đánh dấu bởi thuật toán có khả năng phát triển ung thư gấp ba lần; các kỹ thuật thống kê trước đó không hiệu quả hơn so với ngẫu nhiên.
Thuật toán phân tích các hình ảnh siêu âm trước đó, và dường như hoạt động ngay cả khi bác sĩ không nhận thấy dấu hiệu cảnh báo trong những lần quét trước đó. “Những công cụ Trí Tuệ Nhân Tạo đang làm là họ đang trích xuất thông tin mà mắt và não tôi không thể,” cô nói.

Nghiên cứu đã lâu đã nói về tiềm năng của phân tích Trí Tuệ Nhân Tạo trong hình ảnh y khoa, và một số công cụ đã được áp dụng vào chăm sóc y tế. Lehman đã hợp tác với các nhà nghiên cứu tại MIT trong nhiều năm để áp dụng Trí Tuệ Nhân Tạo vào kiểm tra ung thư.
Nhưng Trí Tuệ Nhân Tạo cũng có thể hữu ích hơn như một cách để dự đoán rủi ro một cách chính xác hơn. Việc kiểm tra ung thư vú đôi khi không chỉ là kiểm tra hình ảnh siêu âm để xác định tiền ung thư, mà còn thu thập thông tin của bệnh nhân và đưa cả hai vào một mô hình thống kê để xác định nhu cầu kiểm tra tiếp theo.
Adam Yala, một sinh viên tiến sĩ tại MIT, đã bắt đầu phát triển thuật toán mà Lehman đang sử dụng, có tên là Mirai, trước khi Covid xuất hiện. Anh nói rằng mục tiêu của việc sử dụng Trí Tuệ Nhân Tạo là cải thiện việc phát hiện sớm và giảm căng thẳng và chi phí từ kết quả dương tính giả mạo.
Để tạo ra Mirai, Yala đã phải vượt qua những vấn đề mà đã làm khó khăn cho những nỗ lực khác trong việc sử dụng Trí Tuệ Nhân Tạo trong chẩn đoán xạ trị. Anh ta đã sử dụng phương pháp học máy thù địch, trong đó một thuật toán cố gắng lừa dối một thuật toán khác, để giải quyết sự khác biệt giữa các máy xạ trị, điều này có thể làm cho bệnh nhân có cùng nguy cơ mắc bệnh ung thư vú nhận điểm khác nhau. Mô hình cũng được thiết kế để tổng hợp dữ liệu từ nhiều năm, làm cho nó chính xác hơn so với những nỗ lực trước đó chỉ bao gồm ít dữ liệu.
Thuật toán MIT phân tích bốn góc nhìn tiêu chuẩn trong một hình ảnh siêu âm, từ đó suy luận thông tin về bệnh nhân thường không được thu thập, chẳng hạn như lịch sử phẫu thuật hoặc yếu tố hormone như mãn kinh. Điều này có thể hữu ích nếu dữ liệu đó chưa được thu thập bởi bác sĩ trước đó. Chi tiết về công việc được trình bày trong một bài báo được xuất bản ngày hôm nay trong tạp chí Y học Chuyển giao Khoa học.
Mirai đã được xác định là chính xác hơn so với các mô hình thống kê thông thường thường được sử dụng để đánh giá rủi ro mắc bệnh ung thư vú của phụ nữ. Khi so sánh bằng cách sử dụng dữ liệu bệnh nhân lịch sử, 42% người sau đó phát triển bệnh ung thư trong năm năm được đánh dấu là rủi ro cao bởi thuật toán, so với 23% cho mô hình hiện tại tốt nhất. Thuật toán cũng hoạt động trên dữ liệu bệnh nhân từ Đài Loan và Thụy Điển, cho thấy nó hiệu quả đối với nhiều loại bệnh nhân khác nhau. Yala nói rằng mô hình dường như tổng quát tốt do sử dụng tập dữ liệu lớn và đa dạng đủ, nhưng ông lưu ý rằng luôn quan trọng phải xác thực thuật toán trong các bối cảnh khác nhau.

Judy Wawira Gichoya, giáo sư trợ lý khoa xạ trị tại Trường Y Emory, người có kế hoạch kiểm tra thuật toán MIT, cho biết công việc này cho thấy sự quan trọng của việc chuyên gia Trí Tuệ Nhân Tạo hợp tác cùng bác sĩ. Tuy nhiên, cô có kế hoạch xác thực thuật toán một cách cẩn thận trên dữ liệu bệnh nhân riêng của mình trước khi sử dụng nó.
Charles Kahn, giáo sư khoa xạ trị tại Đại học Pennsylvania và biên tập viên của tạp chí khoa xạ trị, cho biết Covid đã ảnh hưởng lớn đến chăm sóc y tế định kỳ. “Đó không chỉ là những lần cắt tóc mà mọi người bỏ lỡ trong đại dịch,” ông nói. “Và nó ảnh hưởng nghiêm trọng đến sức khỏe của họ.”
Kahn nói rằng tiềm năng của phương pháp được kiểm tra tại Bệnh viện Chung Massachusetts là nó có thể giúp cá nhân hóa điều trị, với hy vọng các bệnh nhân sẽ nhận được hình ảnh rõ ràng về rủi ro cũng như một kế hoạch kiểm tra tùy chỉnh. Nhưng ông lo lắng rằng các phương pháp thuật toán có thể dẫn đến sự chăm sóc chệch lệch. “Nó có thể xâm nhập vào các cách mà bạn không bao giờ tưởng tượng được,” ông nói.
Covid đã thay đổi chăm sóc y tế theo các cách khác nhau. Nó đã tăng tốc quá trình áp dụng y tế từ xa, ví dụ như điều này có lợi cho một số cộng đồng hơn so với những cộng đồng khác.
Lehman cho biết cô hy vọng những phương pháp Trí Tuệ Nhân Tạo mà cô đang thử nghiệm có thể mang lại lợi ích cho những người thường xuyên nhận ít sự chú ý y tế. “Rất nhiều người đã sống cả đời trong hệ thống chăm sóc sức khỏe của chúng ta như chúng ta đang ở trong đại dịch,” cô nói. “Họ không có quyền truy cập chăm sóc chất lượng, và họ không được kiểm tra.”
Những Câu Chuyện Tuyệt Vời Hơn từ MYTOUR
- 📩 Muốn nhận thông tin mới nhất về công nghệ, khoa học và nhiều hơn nữa? Đăng ký nhận bản tin của chúng tôi!
- Luận điểm về việc ăn thịt người, hoặc: Cách sống sót của Đoàn Donner
- Một khung ảnh số là cách yêu thích nhất của tôi để duy trì liên lạc
- Đây là 17 bộ phim truyền hình không thể bỏ lỡ trong năm 2021
- Nếu Covid-19 thực sự bắt nguồn từ sự rò rỉ của phòng thí nghiệm, liệu chúng ta có biết được không?
- Ash Carter: Hoa Kỳ cần một kế hoạch mới để đánh bại Trung Quốc trong lĩnh vực Trí Tuệ Nhân Tạo
- 🎮 MYTOUR Games: Nhận các mẹo, đánh giá và nhiều hơn nữa
- ✨ Tối ưu hóa cuộc sống gia đình của bạn với những lựa chọn tốt nhất từ đội ngũ Gear của chúng tôi, từ robot hút bụi đến đệm giá rẻ đến loa thông minh
