1. Nha Khoa Việt Plus
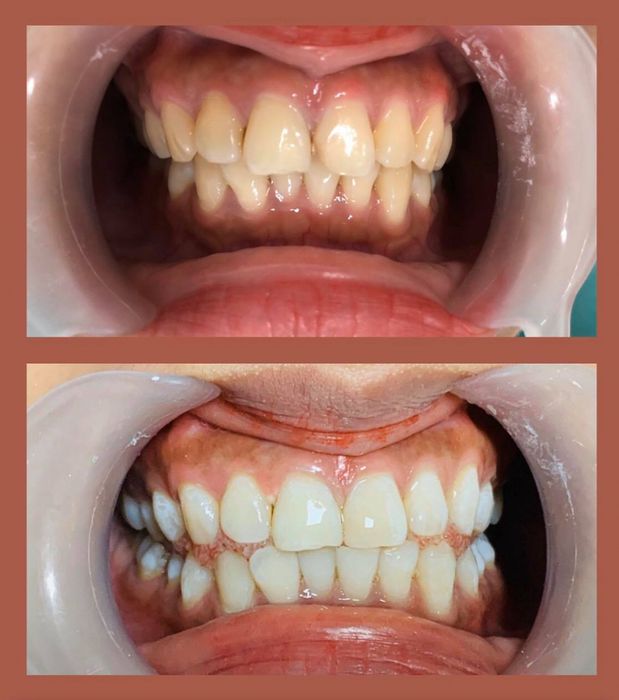
Nha Khoa Việt Plus ở Thanh Hóa, trước đây là Nha Khoa Việt Thành phố Thanh Hóa, tự hào là một trong những Phòng Khám chuyên khoa Răng Hàm Mặt hàng đầu tại TP Thanh Hóa. Đội ngũ bác sỹ chuyên nghiệp và cơ sở vật chất công nghệ cao tại đây đảm bảo đáp ứng mọi yêu cầu khó tính nhất của khách hàng. Nha Khoa Việt Plus chuyên trám răng thẩm mỹ với phương pháp khôi phục chiếc răng hư hỏng, mất mảnh mà vẫn đảm bảo tính thẩm mỹ cao. Quá trình trám răng diễn ra nhanh chóng, chỉ từ 15-20 phút, giúp bạn tiết kiệm thời gian và có nụ cười hoàn hảo. Địa chỉ: PG2-17 Vincom Shophouse, Nguyễn Du, TP. Thanh Hóa. Điện thoại: 0237 3226 888 - 093 239 1188. Website: https://nhakhoaviet.vn/. Fanpage: www.facebook.com/nhakhoavietplus/. Giờ mở cửa: 08:00 - 18:30.


2. Nha khoa thẩm mỹ Tadashi Thanh Hóa
Với 3 chi nhánh mở rộng tại Thanh Hóa, Nha khoa thẩm mỹ Tadashi tự hào quy tụ đội ngũ bác sĩ nha khoa chuyên nghiệp, giàu kinh nghiệm và trang bị hệ thống máy móc hiện đại, công nghệ tiên tiến. Đây là địa chỉ nha khoa đáng tin cậy, nơi bạn hoàn toàn an tâm giao phó nụ cười của mình. Phương châm là 'Lấy chữ tâm làm đầu', đội ngũ y bác sĩ luôn mong muốn mang đến những dịch vụ tốt nhất, đáp ứng mọi nhu cầu của bệnh nhân, hoàn thành sứ mệnh tái tạo nụ cười cho hàng triệu người Việt.
Nha Khoa Tadashi - Phòng khám uy tín hàng đầu Thanh Hoá:
- Với đội ngũ nha sĩ giàu kinh nghiệm, tận tình và chu đáo, Nha Khoa Tadashi mang đến dịch vụ chất lượng hàng đầu.
- Ứng dụng công nghệ nha khoa tiên tiến, đảm bảo hiệu quả với khách hàng.
- Ưu đãi hoàn tiền lên đến 50%, trả góp lãi suất 0%, giúp bạn giải quyết mọi vấn đề về chi phí một cách dễ dàng.
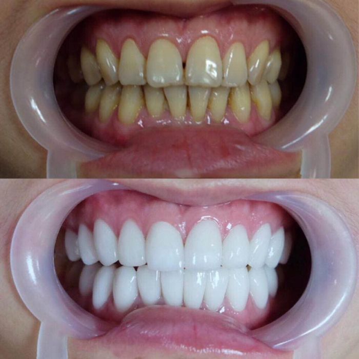
Nha khoa thẩm mỹ Tadashi là địa chỉ hàn trám răng uy tín tại Thanh Hóa. Quá trình hàn trám răng được thực hiện bởi đội ngũ bác sĩ giỏi chuyên môn, có kinh nghiệm và tận tâm. Cam kết mang lại dịch vụ điều trị và chăm sóc sức khỏe răng miệng tốt nhất cho mỗi khách hàng. Đăng ký khám răng và tư vấn miễn phí, bạn sẽ được tư vấn và kiểm tra kỹ lưỡng để phát hiện các vấn đề về răng miệng sớm nhất có thể.
THÔNG TIN LIÊN HỆ:
Địa chỉ:
- 45 Hạc Thành, P. Ba Đình, TP. Thanh Hóa
- 105 Quang Trung, P. Ngọc Trạo, TP. Thanh Hóa
- Ngã tư Cầu Kênh, TT. Nga Sơn, H. Nga Sơn, TP. Thanh Hóa
- Số 119, Tân Ngữ, Định Long, Yên Định (Cổng chợ Bản)
Điện thoại: 0986 888 125
Fanpage: www.facebook.com/NhaKhoaQuocTeTadashi

Nha khoa thẩm mỹ Tadashi Thanh Hóa
Nha khoa thẩm mỹ Tadashi Thanh Hóa3. Dencos Luxury - Viện nha khoa thẩm mỹ Thanh Hóa
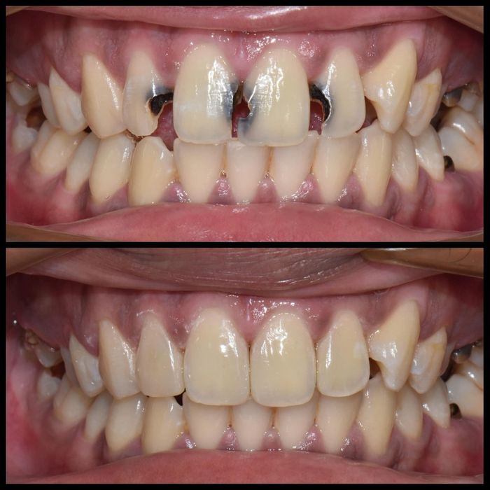
Nha Khoa Dencos Luxury chuyên điều trị sâu răng với công nghệ hiện đại và vật liệu cao cấp như composite, Fuji... Mang lại hiệu quả cao về bảo vệ sức khỏe răng, độ bền lâu dài và tính thẩm mỹ.
Quy trình hàn răng sâu tại Nha Khoa Dencos Luxury Thanh Hóa:
- Bước 1: Thăm khám và tư vấn: Bác sĩ thăm khám tổng quát khoang miệng, chụp X-Q để xác định mức độ sâu và đề xuất phác đồ điều trị.
- Bước 2: Gây tê cho răng: Bác sĩ gây tê nhằm giảm đau nhức, tạo điều kiện cho quy trình hàn răng.
- Bước 3: Nạo sạch vết sâu: Sử dụng dụng cụ chuyên dụng để nạo sạch vết sâu, ngăn chặn sự phát triển của mầm bệnh.
- Bước 4: Hàn lỗ răng sâu: Bác sĩ sử dụng kỹ thuật và vật liệu trám phù hợp.
Đến Dencos Luxury để trải nghiệm dịch vụ chất lượng và thăm khám miễn phí.
THÔNG TIN LIÊN HỆ:
Địa chỉ: Số 71 Đào Duy Từ, Phố Lê Phụng Hiểu, P. Ba Đình, Thanh Hóa
Điện thoại: 0862 785 345
Website: http://dencosluxurythanhhoa.vn/
Fanpage: www.facebook.com/DencosLuxurythanhhoa/
Giờ mở cửa: 07:30 - 20:00

Nha Khoa Dencos Luxury
Nha Khoa Dencos Luxury4. Nha Khoa Bảo Ngọc - Dr.hanh
Nha khoa Thẩm Mỹ Bảo Ngọc do bác sĩ Mai Xuân Hạnh - chuyên gia Răng - Hàm - Mặt, thạc sĩ lâm sàng, sáng lập. Với dịch vụ chất lượng, uy tín, nơi đây đã chiếm trọn niềm tin của nhiều khách hàng. Phòng khám được thiết kế thoải mái, trang thiết bị hiện đại, đảm bảo vệ sinh vô trùng. Đội ngũ y bác sĩ được đào tạo từ các trường đại học hàng đầu về nha khoa, chuyên sâu về các dịch vụ như phục hình cấy ghép Implant, phục hình răng sứ thẩm mỹ, chữa tủy răng, niềng răng, nhổ răng khôn. Tận tình, chu đáo và coi trọng bệnh nhân, cam kết mang đến nụ cười tươi đẹp và tự tin.
Tình trạng sâu răng không nên chờ đợi. Hãy đến Nha Khoa Bảo Ngọc - Dr.hanh để hàn trám răng với công nghệ hiện đại, đội ngũ y bác sĩ chuyên môn. Đăng ký ngay lịch hẹn để chấm dứt những vấn đề về răng miệng và tái tạo nụ cười tự tin ngay hôm nay.
THÔNG TIN XIN LIÊN HỆ:
Địa chỉ: 238 Đội Cung, P. Trường Thi, TP Thanh Hoá
Điện thoại: 0369 166 266 & 0973 344 665 & 0947 257 762
Fanpage: www.facebook.com/profile.php?id=100063638240850

Nha Khoa Bảo Ngọc - Dr.hanh
Nha Khoa Bảo Ngọc - Dr.hanh5. Nha Khoa Quốc Tế Việt Đức
Nha Khoa Quốc Tế Việt Đức có đội ngũ bác sỹ kinh nghiệm, trình độ chuyên môn cao, được đào tạo bài bản chuyên khoa Răng hàm mặt. Phòng khám sở hữu trang thiết bị hiện đại và đội ngũ y, bác sĩ chuyên nghiệp, luôn hướng tới nụ cười tươi đẹp và sức khỏe răng miệng cho mọi người. Đến với Nha Khoa Quốc Tế Việt Đức, bạn có cơ hội trải nghiệm các dịch vụ nha khoa đa dạng, đặc biệt là kỹ thuật hàn trám răng, khắc phục khuyết điểm nhanh chóng và hiệu quả cao. Các bác sĩ tại đây có tay nghề chuyên môn vững vàng, giàu kinh nghiệm, đồng thời được hỗ trợ bởi các thiết bị nha khoa tiên tiến, đảm bảo quá trình hàn răng an toàn, không gây đau và ê buốt răng.
THÔNG TIN XIN LIÊN HỆ:
Địa chỉ: Lô 01 - 05 Lạc Long Quân, P. Ngọc Trạo, Thanh Hóa
Điện thoại: 0237 6289 888
Email: [email protected]
Fanpage: www.facebook.com/nhakhoavietducthanhhoa/

Nha Khoa Quốc Tế Việt Đức
Nha Khoa Quốc Tế Việt Đức6. Nha Khoa Vĩnh Ngân
Nha Khoa Vĩnh Ngân đặt tại 158 Lê Thánh Tông, P.Trung Sơn, Thanh Hóa, là địa chỉ trám răng thẩm mỹ uy tín. Đội ngũ bác sĩ chuyên khoa có tay nghề cao, nhiều kinh nghiệm sẽ đảm bảo quá trình trám răng không gây tổn thương mô răng thật. Vật liệu composite được sử dụng giống màu răng tự nhiên, không lộ miếng trám. Chi phí trám răng cân nhắc, niêm yết rõ ràng, phù hợp với điều kiện của người Việt Nam. Nha Khoa Vĩnh Ngân cam kết điều trị triệt để bệnh lý răng miệng và đảm bảo an toàn, thoải mái cho bệnh nhân.
THÔNG TIN LIÊN HỆ:
- 158 Lê Thánh Tông, P. Trung Sơn, Thanh Hóa
- 65 đường Tây Sơn, P. Trường Sơn, TP. Sầm Sơn, Thanh Hóa
- Đường Nguyễn Sỹ Dũng, P. Quảng Cư, TP. Sầm Sơn, Thanh Hóa.
Điện thoại: 0973 736 845 & 023 7665 4666
Fanpage: www.facebook.com/nhasyvinhsamson

Nha Khoa Vĩnh Ngân
Nha Khoa Vĩnh Ngân7. Nha Khoa Dr. Tuấn Nhà Thờ
Nha Khoa Dr. Tuấn Nhà Thờ - địa chỉ trám răng uy tín và chất lượng tại Thanh Hóa, với đội ngũ bác sỹ kinh nghiệm, trình độ chuyên môn cao. Phòng khám có hệ thống trang thiết bị hiện đại, hỗ trợ tốt cho các bác sĩ trong chẩn đoán và điều trị. Hàn trám răng tại đây giúp khắc phục các vấn đề về thẩm mỹ và sức khỏe răng miệng một cách hiệu quả. Luôn tìm giải pháp hiệu quả và tiết kiệm cho bệnh nhân.
THÔNG TIN LIÊN HỆ:
- Cơ sở 1: Số 7 Nguyễn Trường Tộ, P. Trường Thi, TP. Thanh Hóa.
- Cơ sở 2: Lô 07 - 08B Cao Bá Quát, P.Trường Thi, TP. Thanh Hóa.
Điện thoại: 0975 899 190 & 023 7377 5775
Fanpage: www.facebook.com/nhakhoaDrTuan
Giờ mở cửa: 08:00 - 18:30


8. Nha Khoa Sài Gòn
Để biết nơi trám răng tốt tại Thanh Hóa, hãy khám phá thông tin về Nha Khoa Sài Gòn. Đây là địa chỉ trám răng uy tín ở Thanh Hóa, được nhiều người tin tưởng và có vị trí thuận lợi cho khách hàng.
Nha Khoa Sài Gòn đáp ứng đầy đủ tiêu chí của một nha khoa trám răng tốt như: trang thiết bị hiện đại nhập khẩu từ Châu Âu, phòng điều trị và phòng phẫu thuật cùng các dụng cụ nha khoa được vô trùng theo tiêu chuẩn Bộ Y Tế. Đội ngũ Ts - Bs có nhiều năm kinh nghiệm và luôn đặt chữ Tâm lên hàng đầu, trám răng theo đúng quy trình tiêu chuẩn. Ngoài ra, Nha Khoa Sài Gòn luôn minh bạch về giá trám răng và chi phí của các dịch vụ khác. Do đó, rất nhiều khách hàng khi đến với Nha Khoa Sài Gòn cảm thấy yên tâm khi chăm sóc sức khoẻ răng miệng tại đây.
THÔNG TIN LIÊN HỆ:
Địa chỉ: QL 217, làng Sanh, X. Vĩnh Thịnh, Thanh Hoá
Điện thoại: 0983 322 329 & 0987 100 115
Fanpage: www.facebook.com/thang.nhasi.3 & www.facebook.com/NhasiThang


9. Nha Khoa Quốc Tế Việt Pháp - Thanh Hóa
Tại Thanh Hóa, Nha Khoa Quốc Tế Việt Pháp là một trong những phòng khám nha khoa uy tín nhất với đội ngũ nha sĩ kinh nghiệm dày dặn cùng hệ thống, trang thiết bị hiện đại, chắc chắn sẽ mang lại cho bạn vẻ đẹp chân thiện mỹ. Kể từ ngày thành lập cho đến giờ, Nha Khoa Quốc Tế Việt Pháp luôn cố gắng và quyết tâm hết mình trong việc thu hút nhân tài nha khoa đầu ngành, với chuyên môn, tay nghề chuyên nghiệp, kinh nghiệm chuyên sâu trong ngành Răng – Hàm – Mặt trong và ngoài nước.
Bên cạnh đội ngũ các nha sĩ nhiệt tình, dày dặn kinh nghiệm thì Nha Khoa Quốc Tế Việt Pháp cũng không ngừng nâng cấp, đầu tư thiết bị hiện đại nhất, đặc biệt là việc đồng bộ hệ thống kỹ thuật với công nghệ mới. Hiện tại, phòng khám đang sở hữu những công nghệ mới nhất trong các dịch vụ: cấy ghép Implant hiện đại, bọc răng sứ công nghệ mới, tẩy trắng răng, hàn trám răng… tất cả đều được kiểm định chặt chẽ, tiêu chuẩn quốc tế. Ngoài việc khám, chữa trị, các nha sỹ tại đây còn đưa cho bạn những lời khuyên thiết thực, giúp bạn sớm được phát hiện các bệnh lý về răng miệng để kịp thời điều trị. Chính vì thế, một khi lựa chọn Nha Khoa Quốc Tế Việt Pháp, bạn không phải lo lắng về chất lượng và đảm bảo sẽ luôn là sự hài lòng trọn vẹn nhất.
Nha Khoa Quốc Tế Việt Pháp là địa chỉ trám răng sâu và trám răng thẩm mỹ uy tín và chất lượng tại Thanh Hóa. Nha Khoa Quốc Tế Việt Pháp sẽ thực hiện quá trình trám răng như một giải pháp giúp phục hồi răng về cả phương diện chức năng và thẩm mỹ. Tại Nha Khoa Quốc Tế Việt Pháp, quá trình trám răng của bạn sẽ diễn ra một cách chính xác, nhanh chóng, với chi phí phù hợp nhất. Hàn răng là thủ thuật đơn giản, xâm lấn tối thiểu được dùng để điều trị cho những răng sâu, nứt vỡ hay thiểu sản men để ngăn ngừa sự xâm nhập của vi khuẩn gây hại cho tủy răng. Thẩm mỹ là phục hồi và cải thiện hình thể cũng như màu sắc và mang lại thẩm mỹ cao nhất cho răng.
THÔNG TIN LIÊN HỆ:
Địa chỉ: 144 Lê Quý Đôn, P. Ba Đình, Thanh Hóa
Điện thoại: 0963 268 897 & 023 7394 9888
Email: [email protected]
Fanpage: https://www.facebook.com/Nhakhoauytinso1/


