1. Chụp X-Quang có ảnh hưởng đến sức khỏe hay không?
Việc thường xuyên tiếp xúc với tia X có thể gây ra tổn thương không mong muốn cho cơ thể do cường độ cao của tia. Chụp X-Quang có thể ảnh hưởng đến chức năng sinh lý và thậm chí đe dọa tính mạng nếu sử dụng quá mức. Những vùng như bộ phận sinh dục, tuyến giáp, tủy xương và da là nơi dễ chịu tác động nhất. Do đó, việc lạm dụng tia X có thể dẫn đến những hậu quả xấu cho sức khỏe.
Chụp X-Quang liên tiếp có thể gây bỏng da và rụng tóc, kéo dài có thể dẫn đến các bệnh nghiêm trọng như ung thư. Tuy nhiên, nếu biết cách kiểm soát khoảng cách giữa các lần chụp, kỹ thuật này hoàn toàn an toàn. Mức độ khuyến cáo là không quá 5 - 7 lần mỗi năm.
Phụ nữ mang thai nên tránh chụp X-Quang trừ khi được bác sĩ chỉ định do tia X có thể ảnh hưởng đến sự phát triển của thai nhi. Với những bệnh nhân cần chụp nhiều lần, nên ưu tiên dùng thiết bị hiện đại nhằm giảm thiểu tác dụng phụ từ tia X.


2. Các kỹ thuật chụp X-Quang phổ biến hiện nay
Một số kỹ thuật chụp X-Quang phổ biến gồm:
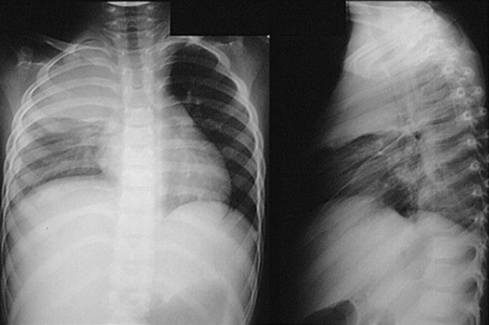
- Chụp X-Quang phổi: Giúp đánh giá tình trạng và chức năng của phổi. Phương pháp này ít hiệu quả trong chẩn đoán các bệnh phổi mạn tính như khí phế thủng hay xơ nang, nhưng rất quan trọng trong việc phát hiện các bệnh nghiêm trọng như ung thư hoặc lao phổi. Ngoài ra, X-Quang còn có thể phát hiện những bất thường phổi do các vấn đề tim mạch, chẳng hạn khi chất lỏng tích tụ trong phổi là dấu hiệu của suy tim sung huyết.
- Chụp răng: Được sử dụng để phát hiện sâu răng ở các kẽ, sâu răng tái phát, cũng như các bệnh về nướu. Phim X-Quang quanh chóp răng còn giúp xác định tình trạng tiêu xương, răng ngầm dưới nướu và hình dạng xương nâng đỡ răng. Ngoài ra, kỹ thuật này còn giúp đánh giá hình dáng chân răng và mức độ nguy hiểm của nhiễm trùng. Phim X-Quang nha khoa thường là loại nhỏ và chi phí khá hợp lý.


3. X-Quang là gì? Chụp X-Quang có nghĩa là gì?
X-quang là loại bức xạ năng lượng cao. Máy chụp X-quang phát ra các tia X có khả năng xuyên thấu qua mô mềm và dịch trong cơ thể, từ đó tạo ra hình ảnh giúp bác sĩ chẩn đoán bệnh. Các mô đặc như xương cản trở tia X nhiều hơn, khiến ít tia X xuyên qua. Ngược lại, các mô chứa nhiều không khí và nước có cấu trúc phân tử lỏng lẻo nên cho phép tia X đi qua dễ dàng hơn.
Nhờ cách tia X di chuyển qua các mô mềm, hình ảnh của các bộ phận như tim, phổi, xương sống, xương sườn và mạch máu được tái tạo rõ nét. Từ đó, bác sĩ dựa vào hình ảnh để chẩn đoán nguyên nhân bệnh lý và xác định hướng điều trị phù hợp. Chụp X-quang giúp phát hiện những bệnh mà phương pháp khám thông thường không thể nhìn thấy, đồng thời phát hiện sớm các dấu hiệu bệnh để điều trị kịp thời trước khi trở nặng.
Thực hiện chụp X-Quang là chỉ định quan trọng trong chẩn đoán nhiều bệnh, đặc biệt là các bệnh về xương khớp. Khi khám bằng mắt thường không thể phát hiện bất thường, kỹ thuật này khắc phục nhược điểm đó, giúp bác sĩ nhận biết sớm các dấu hiệu bệnh và đưa ra phương án điều trị hiệu quả.


4. Quy trình thực hiện chụp X-Quang như thế nào?
Chụp X-quang là bước quan trọng trong quá trình khám và điều trị các bệnh liên quan đến xương khớp, tim mạch, phổi,... Vì vậy, quy trình chụp X-quang luôn được nhiều người quan tâm. Trong lúc chụp, kỹ thuật viên sẽ yêu cầu người bệnh nằm, ngồi hoặc đứng ở các tư thế phù hợp. Đôi khi, người chụp cần nín thở khi chụp X-quang phổi để đảm bảo hình ảnh rõ nét nhất.
Phim X-quang hoặc thiết bị ghi hình được đặt phía sau vùng cơ thể cần chụp, tia X sau khi đi qua các bộ phận sẽ bị hấp thụ một phần, phần còn lại sẽ được ghi lại để tạo hình ảnh.
Hình ảnh sẽ càng tối nếu có nhiều tia X chiếu đến phim, những bộ phận cản tia X mạnh như xương sẽ hiện màu trắng, còn những vùng chứa khí như phổi sẽ tối màu. Các mô mềm như cơ hoặc các cơ quan đặc sẽ có màu xám, độ xám tùy thuộc vào mật độ mô. Dựa trên những hình ảnh này, bác sĩ sẽ đọc phim, chẩn đoán và đưa ra phương án điều trị phù hợp.
Kỹ thuật chụp X-quang phải được tiến hành trong điều kiện an toàn, đạt tiêu chuẩn. Người bệnh cần tuân thủ hướng dẫn của bác sĩ để thực hiện đúng quy trình, đảm bảo kết quả phim chính xác và phản ánh đúng tình trạng sức khỏe.


5. Những điều cần chuẩn bị trước khi chụp X-quang?
- Loại bỏ hoàn toàn trang sức và các vật dụng kim loại trên cơ thể vì kim loại sẽ cản trở tia X, gây ảnh hưởng đến hình ảnh chụp. Nên mặc quần áo rộng rãi, thoải mái tại khu vực cần chụp để dễ dàng di chuyển.
- Với chụp X-Quang vùng ruột, bạn sẽ được bác sĩ hướng dẫn làm sạch ruột bằng phương pháp thụt tháo trước khi tiến hành. Nếu cần sử dụng thuốc cản quang, bác sĩ sẽ tiêm hoặc cho bạn uống thuốc này trước khi chụp.
- Tùy theo vùng cơ thể và kỹ thuật chụp (có hay không dùng thuốc cản quang), bác sĩ sẽ tư vấn kỹ lưỡng để bạn chuẩn bị phù hợp. Vì vậy, bạn nên tham khảo ý kiến chuyên gia trước khi chụp để đảm bảo an toàn và kết quả tốt nhất.


